Аденома левого надпочечника у женщин — это доброкачественная опухоль, возникающая из клеток коры надпочечника. Она может производить различные гормоны, включая кортизол, альдостерон и андрогены, что может приводить к различным эндокринным нарушениям и клиническим проявлениям, таким как синдром Иценко-Кушинга, гипертония или нарушения менструального цикла.
Диагностика аденомы обычно включает в себя ультразвуковое исследование, КТ или МРТ надпочечников, а лечение может варьироваться от активного наблюдения до хирургического удаления опухоли в зависимости от её размера и функциональной активности. Раннее выявление и правильное лечение аденомы снижает риск возможных осложнений и улучшает качество жизни пациенток.
Аденома надпочечников
Аденома представляет собой образование, которое чаще всего является доброкачественным, однако имеет риск перерождения в злокачественное образование. Существует возможность гормональной активности или ее отсутствия у этой опухоли. Чаще всего аденомы выявляются случайно во время различных обследований брюшной полости, и в таких случаях их называют инциденталомами.
Образования в надпочечниках распространены и, как правило, поражают один из них — правый или левый. Медицинский центр «Энерго» готов предложить своим пациентам диагностические процедуры и консультации высококвалифицированных специалистов. Мы используем новейшие методы диагностики и лечения для взрослых и детей.
Симптоматика аденомы надпочечников
Определим ключевые симптомы:
При наличии аденомы у мужчин могут проявляться женские половые признаки, например, увеличение грудных желез и снижение полового влечения. У женщин наоборот, часто наблюдаются признаки маскулинизации: изменение голоса, избыточный рост волос на лице и теле, а также отклонения в менструальном цикле до его полного отсутствия.
У детей подобные образования могут спровоцировать преждевременное половое созревание. Наличие одного или нескольких симптомов — это серьезный сигнал для обращения к врачу для диагностики и определения причин. Самостоятельное лечение не рекомендуется, так как правильную оценку состояния пациента может дать только врач после осмотра.
Виды образований надпочечников
Аденома правого или левого надпочечника: последствия
Рост аденомы приводит к нарушению функций надпочечников, что, в свою очередь, влияет на гормональный баланс и общее состояние здоровья.
Причины возникновения аденомы остаются нечеткими.
К факторам риска можно отнести:
- генетические предрасположенности, например, синдромы множественной эндокринной неоплазии;
- гормональные изменения, связанные с повышенной стимуляцией коры адренокортикотропным гормоном;
- ожирение и метаболические расстройства;
- воздействие токсических веществ и радиации.
В большинстве случаев аденомы выявляются случайно, во время таких диагностических процедур, как УЗИ или компьютерная томография. Метод лечения зависит от стадии опухоли и клинической картины.
Ключевым моментом в терапии является точное установление гормональной активности и характеристик опухоли (плотность, структура и т. д.). При двустороннем поражении надпочечников важно исключить аденому гипофиза и возможность метастазов из других органов.
Первичная консультация включает анализы жалоб, внешний осмотр и необходимые анализы, которые определяются индивидуально. Врач также может измерить рост, вес, артериальное давление и назначить функциональные исследования.
Повторный прием
При лечении важно установить размеры, тип и строение опухоли, а также наличие гормональной активности. Подход к лечению аденомы зависит от симптомов и анализов.
После получения всех данных врач составит план лечения, который может корректироваться в зависимости от результатов анализов.
Если определяют гормонально активную форму, пациенту назначают операцию по удалению аденомы. Гормонально неактивные формы наблюдаются — первый контроль через полгода, затем раз в год.
Методы лечения
Управление гормональной активностью аденомы определяет план дальнейших действий, включая потенциальное хирургическое вмешательство.
Если подтверждается наличие аденомы, пациент будет находиться под наблюдением. Операция может быть выполнена тремя способами: открыто, лапароскопически или поясничным доступом.
Гормональная терапия направлена на коррекцию уровня гормонов до и после операции.
При злокачественных образованиях лечение подбирается индивидуально с учетом состояния пациента, могут быть назначены химио- или радиотерапия. В лечении всегда будет присутствовать контроль врача, который будет следить за динамикой выздоровления.
Контрольный прием
План визитов и контрольных обследований составляется врачом в зависимости от типа аденомы и клинической ситуации, с целью отслеживания состояния пациента после лечения.
Правильный подход к лечению приводит к улучшению качества жизни или даже полному выздоровлению после операции. За состоянием пациента также осуществляется наблюдение (в большинстве случаев после операций).
Профилактика
Профилактика играет ключевую роль в предотвращении болезни и замедлении ее развития.
Чем можно заниматься для профилактики образований надпочечников?
Одной из важных мер профилактики является правильное питание, контроль за потреблением жиров, белков и углеводов, а также избегание вредной пищи — жареных и мучных блюд. Важно включать в рацион свежие продукты без вредных добавок.

Причины формирования доброкачественных опухолей надпочечников
- генетические синдромы, такие как множественная эндокринная неоплазия I типа, синдром фон Гиппеля — Линдау и нейрофиброматоз 1 типа, возможно наследственная предрасположенность;
- гормональные нарушения из-за избыточного влияния адренокортикотропного гормона;
- избыточный вес и метаболический синдром;
- воздействие токсических веществ и радиации.
Разделение по происхождению:
Корковые аденомы — наиболее распространенный вид опухолей коркового слоя надпочечников. Они могут быть гормонально активными и вырабатывать избыточное количество кортизола (что ведет к синдрому Кушинга) или альдостерона (вызывая первичный гиперальдостеронизм или синдром Конна).
Феохромоцитомы происходят из клеток мозгового вещества надпочечников и часто приводят к избытку катехоламинов, основных из которых адреналин. Это приводит к опасным нарушениям сердечно-сосудистой системы (значительное повышение артериального давления, головные боли и приступы паники). Хотя большинство таких образований являются доброкачественными, риск их злокачественного перерождения всегда остается.
Разделение по гормональной активности:
Гормонально активные опухоли:
- кортикостерома — вырабатывает избыток кортизола, что может вызвать раннее угасание сексуального влечения и половых признаков, чаще встречается у женщин;
- альдостерома — приводит к избыточной секреции альдостерона, может развиваться в любом слое надпочечников и чаще наблюдается у женщин, но он редко озлокачествляется;
- андрастерома — состоит из клеток, вырабатывающих андрогены, что может проявляться в вирилизации у женщин, негативно влияет на фертильность и либидо.
Гормонально неактивные опухоли не влияют на гормональный фон организма и, как правило, выявляются случайно.
С учетом строения:
Кистозные опухоли могут быть как однокамерными, так и многокамерными. Обычно они не проявляют симптомов, если не достигают больших размеров, что может вызвать давление на соседние органы.
Миелолипомы надпочечников — это доброкачественные образования, состоящие из зрелой жировой ткани и элементов миелоидной ткани. Обычно они бессимптомны.
Фиброма надпочечников — редкая доброкачественная опухоль, происходящая из соединительной ткани. Обычно не вызывает симптомов.
Ганглионарная неврома — редкое новообразование, происходящее из элементов нервной системы, в частности симпатических ганглиев.
Симптомы доброкачественных опухолей надпочечников
Симптоматика доброкачественных опухолей надпочечников различна и зависит от их типа и способности к гормональной продукции.
Аденомы, продуцирующие альдостерон (синдром Конна), могут вызывать высокое артериальное давление, мышечную слабость, жажду и частые позывы к мочеиспусканию.
Кортикостеромы вызывают синдром Кушинга, который проявляется увеличением веса, отложением жира на лице с характерным «лунообразным» видом, угревыми высыпаниями, ожирением верхней части тела, истончением кожи и высоким уровнем артериального давления. В результате снижения кальция в костях повышается риск развития остеопороза и переломов. У многих пациентов наблюдаются мышечные боли и судороги.
Феохромоцитомы могут приводить к стабильному повышению артериального давления, напоминая гипертоническую болезнь или кризисы, сопровождающиеся головными болями, чувством тревоги, потливостью, изменениями цвета кожи и другими симптомами, такими как одышка и нарушение зрения. Эти проявления могут возникать спонтанно или быть вызваны физическим или эмоциональным напряжением.
Гормонально неактивные опухоли часто не проявляют симптомов, однако при значительном увеличении могут вызывать:
- боль в области живота или поясницы из-за давления на соседние органы;
- дискомфорт в животе или ощущение переполненности.
Клинические проявления кортикостером
Данный тип аденомы чаще всего встречается у женщин в возрасте 20-40 лет. Значительное количество вырабатываемого кортизола (гиперкортицизм) приводит к возникновению синдрома Иценко-Кушинга. Гиперкортицизм в большинстве случаев выражается в виде ожирения, при этом жир откладывается преимущественно на лице, шее и груди.
Степень округлости лица, истончение кожи и исчезновение подкожного жира на тыльной стороне кисти также являются характерными признаками. Мышцы грудных, ягодичных и конечностей атрофируются, вызывая затруднения в движении и подъеме. Возможны грыжи из-за ослабления мышц брюшной стенки, что приводит к появлению «лягушачьего живота».
На коже живота, груди, бедрах и плечах появляются стрии багрово-красного цвета. Остеопороз развивается из-за потери минеральных солей костной тканью, что приводит к переломам и уменьшению высоты позвонков, иногда фиксируются переломы шейки бедра. Стероидный диабет наблюдается у каждого десятого пациента.
Чаще всего диабет удается компенсировать с помощью диеты и пероральных противодиабетических средств. У женщин отмечается гипертрихоз и нарушения менструального цикла, а также психические расстройства — депрессивные состояния.
Опухоли, вырабатывающие альдостерон, могут приводить к первичному гиперальдостеронизму, известному также как синдром Конна.
Альдостерома представляет собой доброкачественное образование, обычно не превышающее 3 см в диаметре. Основным симптомом данной болезни является гипертензия. Излишком альдостерона усиливается реабсорбция натрия в почках, что ведет к задержке жидкости и увеличению объема циркулирующей крови, что, в свою очередь, вызывает рост артериального давления. Альдостерон также способствует выведению калия, что может приводить к гипокалиемии, сопровождаемой слабостью, судорогами и мышечными болями.
Когда опухоль вырабатывает андростерон, ее называют андростерома. У мужчин заболевание часто диагностируется на поздних стадиях, тогда как у женщин появляются симптомы вирилизации: грубый голос, рост волос на лице и подбородке, увеличение мышечной массы и снижение размера молочных желез и клитора. Кроме того, может наблюдаться сбой менструального цикла.
Диагностический алгоритм аденомы надпочечников
- При обнаружении опухоли надпочечника важно определить, является ли она доброкачественной аденомой или адренокортикальным раком.
- Также необходимо выяснить о наличии гормональной активности.
Компьютерная томография (КТ) является основным методом диагностики в данном случае. Желательно использовать мультиспиральный томограф с не менее чем 64 срезами. Исследование надпочечников выполняется с использованием внутривенного контраста и помогает определить размеры и плотность опухоли.
Доброкачественные аденомы имеют низкую плотность и четкие контуры, зачастую размером около 3 см или чуть крупнее. На втором этапе исследования после введения контраста оценивается скорость накопления и вымывания контраста, что у доброкачественных опухолей происходит быстро и полностью.
- Иногда для уточнения диагноза может использоваться магнитно-резонансная томография (МРТ), хотя реже, чем КТ.
- Если необходимо выяснить, есть ли метастазы опухоли в надпочечниках, может быть проведена биопсия, но этот метод применяется редко из-за высокой травматичности.
- Лабораторные исследования играют важную роль в диагностике гормонально активных опухолей. Уровень кортизола и адренокортикотропного гормона (АКТГ) в крови варьируется в течение суток и не может однозначно указывать на работу надпочечников. Однако определение кортизола в суточной моче дает ясную картину их функции.
- Малаядексаметазоновая проба может выявить даже скрытые гормональные нарушения при синдроме Иценко-Кушинга. Проба проводится на протяжение суток с первичным измерением кортизола в крови, после чего в течение 24 часов принимается 1 мг дексаметазона. На следующее утро уровень кортизола снова измеряется. Нормой является его снижение в два и более раз, если уровень не меняется, опухоль производит кортизол независимо от организма.
- Для дифференциальной диагностики синдрома и болезни Иценко-Кушинга выполняется большая дексаметазоновая проба с дозировкой дексаметазона 8 мг. В этом случае отрицательный результат будет у опухоли, продуцирующей кортизол, тогда как болезнь Иценко-Кушинга будет сопровождаться снижением кортизола в два и более раза.
- Пациентам с аденомой надпочечников также необходимо исследовать уровень хромогранима А, кальцитонина, паратгормона, ионов крови, альдостерона и ренина.
Операция по удалению аденомы надпочечника
Удаление аденомы надпочечника может иметь три подхода: открытая операция, лапароскопическая и робот-ассистированная методики.
Лапароскопическая адреналэктомия предпочтительна для небольших доброкачественных новообразований. Преимущества этого метода включают меньшую травматичность, быстрое восстановление и хорошие косметические результаты, что повышает эффективность коррекции гормонального дисбаланса. В случаях подозрения на злокачественные опухоли предпочтение отдают открытой операции с целью минимизации риска разрыва оболочки опухоли.
Робот-ассистированная адреналэктомия представляет собой минимально инвазивную процедуру с рядом преимуществ:
- высокая точность манипуляций;
- уменьшенные кровопотери;
- отличное визуальное представление области операции благодаря 3D-изображению и увеличению;
- превосходная подвижность инструментов по сравнению с ручными манипуляциями;
- сокращенный период восстановления.
КТ с контрастированием при аденоме надпочечника

Процесс обычного сканирования длится менее минуты, а с контрастом — до получаса. Результаты можно получить в тот же день.
Для оценки небольших аденом достаточно провести обычное исследование. При плотности опухоли менее 10 HU и при размерах до 2 см дополнительная диагностика обычно не требуется. В таких случаях рекомендуется контрольное УЗИ через 3-6 месяцев.
КТ надпочечников с контрастом используется для оценки объемных образований размером более 3 см или при активном росте, а также при подозрении на метастатическое поражение.
Для контрастирования используется раствор на основе йода, который вводится автоматически в локтевую вену с помощью специального инъектора.
Противопоказания для введения контраста:
- почечная недостаточность;
- аллергические реакции на морепродукты или йод, например, отек Квинке;
- заболевания щитовидной железы, сопровождающиеся повышенной функциональной активностью.
Метформин не должен приниматься одновременно с контрастом и должен быть отменен за 48 часов до исследования, согласовав это с эндокринологом.
Перед КТ надпочечников необходимо сдать анализ крови на креатинин, результат которого действителен в течение 10 дней.
Женщинам, которые кормят грудью, стоит заранее подготовить запас грудного молока на 3-4 кормления.
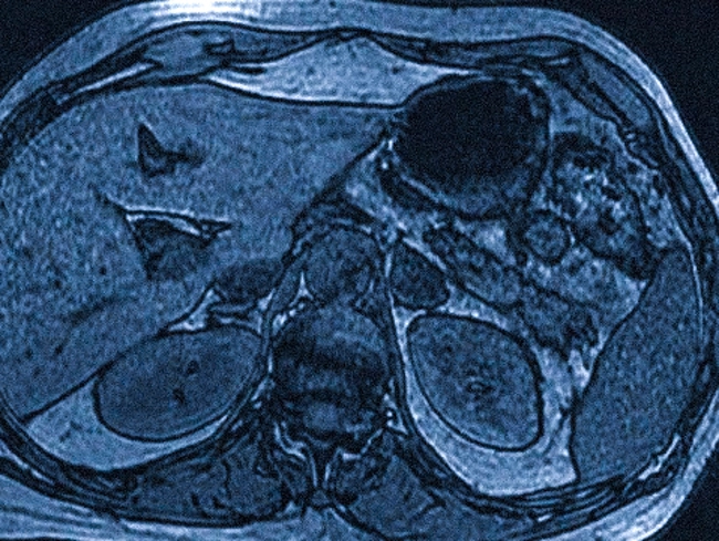
КТ или МРТ при аденоме надпочечника: что выбрать?

МР-сканирование с применением метода химического сдвига показывает поражение левой надпочечниковой железы.
Магнитно-резонансная томография (МРТ) предоставляет возможность различать рак и аденому, что делает её особенно ценным инструментом. Этот метод не предполагает лучевой нагрузки, что делает его наилучшим вариантом для диагностики у беременных женщин, детей и пациентов, которые уже получили радиотерапию.
На изображениях, полученных с помощью МРТ, можно заметить как количество, так и локализацию жировой ткани в новообразованиях печени, что является важным критерием при определении аденомы, кисты, миелолипомы и злокачественных опухолей.
В сложных случаях диагностики требуется применение комплексного подхода, включающего компьютерную томографию (КТ) с динамическим контрастированием и МРТ с использованием методики химического сдвига.
В клинике “Магнит” в Санкт-Петербурге, при подозрении на опухоль надпочечника, можно пройти мультиспиральную компьютерную томографию и магнитно-резонансную томографию. За дополнительную плату доступна услуга “Второе мнение”, что подразумевает независимую оценку снимков двумя специалистами. Для записи на процедуру КТ или МРТ необходимо предварительно забронировать время по телефону 8 (812) 407-32-31 и получить направление от лечащего врача. Мы всегда рады помочь вам!
- Рентгенодиагностика опухолей пищевода, органов брюшной полости и забрюшинного пространства. / ред.: И. С. Петрова, Л. Г. Розенфельд. — Киев : Здоровье, 1979. — 352 с.: ил.
- Компьютерная томография: грудь, живот и таз, опорно-двигательный аппарат. 2-е изд. (пер.). / Брант Уильям Э., Мэйджор Нэнси М. / ГЭОТАР-Медиа, 2023. — 488 с.
- Лучевая диагностика. Учебник. / Труфанов Г. Е., Алексеев К. Н., Атаев А. Г. / ГЭОТАР-Медиа, 2021. — 484 с.








