Нефрэктомия — это хирургическая операция по удалению почки, которая применяется при онкологических заболеваниях, таких как рак почки. Она может быть частичной, когда удаляется только опухоль вместе с небольшим количеством здоровой ткани, или радикальной, когда удаляется вся почка, окружающие ткани и лимфатические узлы. Основной целью операции является удаление опухоли, что позволяет предотвратить её распространение и улучшить качество жизни пациента.
После нефрэктомии пациентам необходим контроль за функцией оставшейся почки и возможной терапией для предотвращения рецидивов. В зависимости от стадии заболевания и общего состояния здоровья, хирурги могут рекомендовать дополнительные методы лечения, такие как химиотерапия или иммунотерапия. Эффективное взаимодействие между хирургом и онкологом существенно увеличивает шансы на положительный исход лечения.
Что такое нефрэктомия?
Определение процедуры
Нефрэктомия представляет собой хирургическую операцию, при которой удаляется одна из почек. Эта операция необходимо, когда опухоль или иные заболевания органа делают невозможным его сохранение. Чаще всего к этой процедуре прибегают в случае злокачественной опухоли, известной как рак почки, которая разрушают здоровые ткани и склонна к метастазированию.
На данный момент точные причины возникновения рака почки и скорость его прогрессирования остаются недостаточно изученными. В существующей медицинской литературе отсутствуют конкретные данные о временных рамках возникновения заболевания и его динамике. Поэтому ранняя диагностика и своевременное лечение имеют критически важное значение для здоровья и выживания пациента.
Диагностика новообразований в почке
Первоначальное исследование – УЗИ
Процесс диагностики обычно начинается с ультразвукового исследования органов брюшной полости, на котором врач может заметить аномалии в почечной ткани.
Многослойная компьютерная томография (МСКТ) как важный диагностический метод
Следующий аспект диагностики – многослойная компьютерная томография (МСКТ), которая является важнейшим этапом исследования.
С помощью МСКТ врачи получают полную картину:
- размер новообразования;
- расположение в тканей почки;
- наличие инвазий в сосуды или окружающие структуры;
- наличие тромбов, связанных с опухолью;
- метастазы в близлежащие лимфоузлы или надпочечник.
В дополнение, для определения степени распространённости заболевания выполняется КТ грудной клетки для исключения метастазов в лёгкие.
Ситуации, при которых сохранить почку невозможно
Не всегда опухоль удаётся удалить без удаления органа. Нефрэктомия требуется в таких случаях:
- значительный размер опухоли (более 6 см);
- наличие метастаз в надпочечник;
- поражение регионарных лимфоузлов;
- невыгодное расположение опухоли, вовлекающее чашечно-лоханочную систему и крупные сосуды.
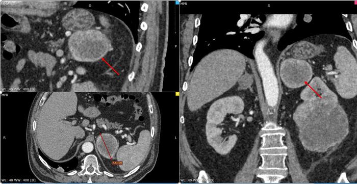
Клинический случай
В практике врачей могут встречаться сложные случаи, например, когда у пациента была обнаружена опухоль размером 95 мм и метастаз в надпочечник размером 72 мм. Оба образования были успешно удалены с помощью лапароскопической техники.

При этом использовался лапароскопический доступ, а не традиционная открытая операция.

Лапароскопическая нефрэктомия: современное решение
На сегодняшний день лапароскопическая нефрэктомия признана стандартом в хирургическом лечении опухолей почек.
Преимущества лапароскопического метода:
- Минимальные травмы тканей – небольшие разрезы, отсутствие значительных послеоперационных шрамов.
- Четкая визуализация – камера усиленно увеличивает изображение, что позволяет хирургу точнее выполнять манипуляции.
- Меньшая болевая чувствительность после операции.
- Ускоренное восстановление – пациенты, как правило, встают уже на следующий день и могут покинуть клинику намного раньше, чем после открытой операции.
- Эстетический эффект – послеоперационные шрамы практически незаметны.
Морфологическое исследование: основа точной диагностики
После проведённой операции обязательно осуществляется морфологический анализ удалённых тканей. Это исследование важно для точной диагностики типа опухоли, её злокачественности и особенностей структуры. Эти данные критически важны для определения прогноза и последующего контроля за состоянием пациента.
Жизнь с одной почкой
После нефрэктомии многие пациенты интересуются, возможно ли полноценное существование с одной почкой?
Ответ положительный.
Организм имеет механизмы компенсации – викарная трансформация. Оставшаяся почка способна увеличиваться и выполнять функции удалённого органа. Согласно научным данным, функциональность почек остаётся на уровне, достаточном для нормальной жизни, работы и даже занятия спортом.
Важно только регулярно проходить обследования и контролировать анализы крови и мочи.
Рекомендации после операции
После лапароскопической нефрэктомии необходимо соблюдать определенные рекомендации для поддержания здоровья:
- Избегать физической активности и тяжелых физических нагрузок в течение первых нескольких недель для предотвращения осложнений.
- Соблюдать диету, рекомендованную врачом, чтобы поддерживать работу оставшейся почки.
- Регулярно проводить контрольные обследования, включая УЗИ почек и анализы на определение функции оставшейся почки.
- Обращать внимание на любые необычные симптомы, такие как боль, отеки, изменения в мочеиспускании, и незамедлительно информировать об этом врача.
Соблюдение этих рекомендаций поможет пациентам адаптироваться к жизни с одной почкой и сохранить активный образ жизни.

- подтверждённый онкологический процесс;
- диагностированный рак мочеточника или почечной лоханки;
- выявленный терминальный гидронефроз;
- гнойно-деструктивные заболевания почек (пионефроз);
- многочисленные кистозные образования;
- нефросклероз или сморщенная почка;
- обратный ток мочи (пузырно-мочеточниковый рефлюкс);
- туберкулёзное поражение почек;
- травматические повреждения органа;
- заболевания мочеточника;
- полное отсутствие функциональности почки;
- наличие некрозов;
- метастатические процессы;
- тяжёлые инфекционные заболевания;
- неэффективность предыдущей терапии;
- камни в почках крупных размеров;
- врожденные анатомические аномалии, приводящие к осложнениям.
Противопоказания к нефрэктомии
Оперативные вмешательства имеют свои противопоказания. Определение этих ограничений на ранних стадиях помогает избежать серьезных осложнений и своевременно скорректировать состояние пациента.
Ситуации, в которых нефрэктомия невозможно:
- значительные нарушения свёртываемости крови;
- подтверждённые гемофилия или тромбоцитопения;
- острые инфекции или воспалительные процессы;
- хронические болезни в стадии обострения;
- явные симптомы острых респираторных инфекций;
- лихорадочные состояния различной природы;
- дисфункция другой почки;
- принятие антикоагулянтов, непрекращаемых перед операцией;
- наличие одной почки;
- острая цереброваскулярная недостаточность, инфаркт миокарда;
- декомпенсированные сердечные заболевания;
- тяжёлые формы диабета или лёгочных недугов;
- гнойные поражения кожи в области предстоящей операции.
Проведение лапароскопической нефрэктомии
Прежде чем принимать решение о возможности лапароскопического удаления почки, необходимо провести подробное обследование. Клиника урологии имени Р. М. Фронштейна Первого Московского Государственного Медицинского Университета имени И. М. Сеченова (Государственный центр урологии) всегда проводит необходимые анализы перед назначением операции. Это делается не из недоверия к другим врачам, а потому что мы обладаем более широкими техническими возможностями. Благодаря современным роботизированным технологиям мы можем, к примеру, выбрать резекцию вместо полной нефрэктомии, что невозможно в клиниках без такого оборудования.
После подтверждения возможности лапароскопического вмешательства запланирована операция. Она проходит в стационаре, однако не требуется длительного пребывания в больнице. Обычно пациенты остаются на 2-5 дней, после чего продолжают восстановление дома. Послеоперационный период длится около двух недель и требует регулярного контроля врача. Также рекомендуется избегать поднятия тяжестей и проходить осмотр.
Удаление почки осуществляется с использованием лапароскопа – компактного устройства, которое вводится через минимальный разрез в животе. Это устройство обеспечивает врачу оптимальный обзор происходящего, тем самым снижая риски ошибок при операции.
Лапароскопическая нефрэктомия имеет ряд преимуществ по сравнению с открытыми операциями.
Во-первых, это значительно меньшие травмы тканей, что способствует более быстрому восстановлению пациента. Во-вторых, такие операции сопровождаются меньшей кровопотерей и меньшей вероятностью развития инфекционных осложнений. В результате многие пациенты быстрее возвращаются к своей привычной жизни.
Стоит отметить, что, хотя лапароскопическая нефрэктомия считается менее инвазивной процедурой, она все еще требует высокой квалификации хирурга. Поэтому выбор медицинского учреждения и врача играет ключевую роль в успешности операции. Наша клиника предоставляет доступ к опыту лучших специалистов и инновационным методам лечения.

Преимущества лапароскопической нефрэктомии
Почему хирурги предпочитают делать нефрэктомию лапароскопическим методом? Главные преимущества:
- уменьшение потери крови. Хирург контролирует процесс более точно и может быстро остановить кровотечение.
- снижение риска инфекций. Закрытая среда, создаваемая газом при лапароскопии, минимизирует контакт с внешними тканями.
- меньшая вероятность спаек. Низкая травматичность тканей снижает риск появления спаек, что может предотвратить осложнения в будущем.
- малые разрезы. Лапароскопическая операция требует только нескольких маленьких разрезов вместо одного большого.
- уменьшённая болезненность. Пациенты ощущают менее выраженный болевой синдром и быстрее возвращаются к обыденной жизни.
- практически незаметные шрамы. Небольшие шрамы становятся едва заметными после полного восстановления.
Как видно, лапароскопическая нефрэктомия является более безопасной альтернативой традиционной хирургии. Неудивительно, что врачи нашей клиники предпочитают именно этот метод.
Нужна консультация по поводу лечения опухоли лоханки, мочеточника или других заболеваний почек? Клиника урологии имени Р. М. Фронштейна Первого Московского Государственного Медицинского Университета имени И. М. Сеченова (Государственный центр урологии) всегда готова оказать помощь! Звоните нам, и мы постараемся записать вас на прием в тот же день!
Чтобы записаться на оперативное вмешательство в клинику урологии Первого МГМУ им. Сеченова, позвоните по номеру +7 (499) 409-12-45 или воспользуйтесь интерактивной формой записи на нашем сайте
Клиника урологии имени Р. М. Фронштейна Первого МГМУ имени И. М. Сеченова предлагает консультации у опытных урологов. Следует просто заполнить короткую онлайн-заявку. Убедитесь, что вы заполнили все поля, особенно графу «Сведения» с описанием своих симптомов, и укажите, интересует ли вас первичный или повторный прием.
Обратите внимание на кнопку «Прикрепить файл» — она позволит быстро отправить врачу ваши медицинские документы в электронном формате. Это могут быть снимки, результаты анализов и другая важная информация, необходимая для постановки диагноза.
Остались сомнения? Позвоните по номеру +7 (926) 242-12-12 или +7 (499) 409-12-45! В будние дни вы сможете прийти на консультацию уже через несколько часов после подачи онлайн-заявки. Не затягивайте с обращением к специалисту, если вас беспокоит здоровье мочеполовой системы!
Послеоперационный период

- Органы, содержащие опухоль, отправляются на гистологическое обследование.
- В течение нескольких дней врач получает результаты и устанавливает окончательный диагноз.
- Специалист предоставляет пациенту все необходимые рекомендации, которые важно строго соблюдать.
С учетом новейших технологий и многолетнего опыта, послеоперационный период у нас проходит быстрее, и пациенты успешно возвращаются к нормальной жизни.
Вероятные осложнения и последствия
Как и любое хирургическое вмешательство, операция на почках может привести к осложнениям. Среди них наиболее распространены:
Перед хирургическим вмешательством все пациенты проходят комплексное обследование. Необходимо сдать анализы крови и мочи, пройти ЭКГ, УЗИ почек и мочевого пузыря, а также рентген или МРТ органов мочевыделения. Конкретные исследования назначает врач в зависимости от симптомов и предварительного диагноза.
Подготовка к операции обычно начинается за несколько дней до процедуры. Поскольку она проводится под общей анестезией, консультация анестезиолога является обязательной. Мы рекомендуем пациентам:
Чтобы минимизировать риск осложнений, врач может прописать антибактериальные препараты. Следует воздержаться от пищи за 12 часов до операции. Точные рекомендации по подготовке зависят от метода хирургического вмешательства и будут предоставлены врачом.
Когда стоит обратиться к врачу
Хирургическое вмешательство является эффективным решением, когда диета или медикаментозное лечение не дают результатов. Операция может назначаться как после неэффективного лечения, так и при первом обращении пациента. Следующие симптомы могут стать поводом для посещения уролога:
СОМЦ ФМБА России — это многопрофильный центр, включающий поликлинику и дневной стационар. Мы предлагаем широкий спектр медицинских услуг и комплексный подход к лечению различных заболеваний. Если вам требуется оперативное вмешательство, наши хирурги готовы выполнить любые процедуры на высоком уровне.
Обращение в нашу клинику предоставляет множество преимуществ:








