Пневмотизация легкого может быть диффузно повышена по различным причинам, включая воспалительные заболевания, такие как пневмония, а также хронические обструктивные болезни легких. Повышенная пневмотизация свидетельствует о нарушении вентиляции и газообмена, что может привести к ухудшению состояния пациента.
Лечение данной патологии включает в себя устранение основной причины, например, применение антибиотиков при инфекциях, бронхолитиков и кортикостероидов при обострениях хронических заболеваний. Важно также проводить симптоматическую терапию, направленную на улучшение вентиляции и поддержание функций дыхательной системы.
- Пневмотизация легких обозначает наличие воздуха в альвеолах, что может быть нормальным или патологическим состоянием.
- Диффузное повышение пневмотизации может быть связано с заболеваниями, такими как хроническая обструктивная болезнь легких (ХОБЛ) и астма.
- Другие причины включают микоплазменную пневмонию и легочную эмфизему.
- Лечение зависит от основного заболевания и может включать бронходилататоры, кортикостероиды и антибиотики.
- Важно проводить регулярный мониторинг состояния пациента и при необходимости корректировать терапию.
Снижение пневматизации паренхимы легких
Добрый день! 30 ноября 2020 года мне сделали КТ легких. Полученные результаты показывают, что пневматизация легочной ткани понижена, особенно в задних частях нижних долей. На недавнем флюорографическом снимке ничего аномального не обнаружено. На сегодняшний день я не перенес инфекцию COVID-19, а также не испытываю температуры, одышки или кашля.
К вечеру чувствую незначительную усталость.
В последние дни меня беспокоят ноющие боли в грудной клетке, как будто что-то мешает, и при глубоком вдохе ощущаю покалывания в спине. Работаю с красками (грунтовка и покраска), и ранее после контакта с краской у меня уже были подобные болевые ощущения. Помогите, пожалуйста! Как поступить в данной ситуации? Что это может означать?
Может анализы какие сдать?
Причины возникновения
Образование вторичных изменений в легочной ткани может быть связано с несколькими факторами, такими как:
- Хронические заболевания легкого – бронхоэктаза, пневмония, бронхит.
- Инфекционные болезни, в том числе грибковые, такие как токсоплазмоз, туберкулез, микопневмония, сифилис, амебиаз.
- Последствия травм легких или попадание инородных тел – инфаркт легкого, гемопневмоторакс.
- Профессиональные болезни.
- Курение, как активное, так и пассивное.
- Негативные экологические условия.
- Заболевания сердца и сосудов – ангииты, тромбоэмболия легочной артерии, врожденные пороки сердца.
- Кистозная гипоплазия легких.
- Аллергические реакции и иммунные заболевания: синдромы Хаммена-Рича или Гудпасчера, саркоидоз, гранулематоз, коллагеноз.
- Аномалии развития.
Симптомы и признаки
На начальных стадиях диффузный пневмосклероз часто протекает без каких-либо заметных симптомов. В физической активности может возникать лишь незначительная одышка. У некоторых пациентов к утренним часам добавляется сухой кашель. С увеличением прогрессирования заболевания появляются следующие проявления:
- одышка в состоянии покоя с затруднениями при дыхании;
- кашель, который беспокоит пациента в течение дня и усиливается при нагрузках;
- цианоз;
- деформация пальцев (симптом «Гиппократа»);
- головокружение;
- быстрая утомляемость и слабость;
- потеря веса.
Важно понимать! Симптомы диффузного пневмосклероза усиливаются, принимая во внимание объем нефункционирующей легочной ткани.
Диагностика
Ключевые исследования включают получение изображений легких с помощью рентгенографии и компьютерной томографии (КТ). Для характерного интерстициального заболевания легких присущи мелкие узелковые образования, сетчатые структуры и общая тень. Высокое разрешение КТ помогает в определении конкретного типа интерстициального заболевания учётом характера и распределения легочных теней на снимках.
При прогрессирующем пневмофиброзе легкие могут иметь вид «медовых сот» в результате обширного разрушения альвеол и развития небольших кистозных образований внутри легкого.
Оценка функции легких и содержание кислорода в крови также являются важными для диагностики и контроля прогрессирования интерстициальной пневмонии.
Хирургическая биопсия легкого, при которой берется образец легочной ткани для анализа, иногда применяется для уточнения диагноза ИЗЛ, но с улучшением технологий КТ это становится менее актуальным.
Пневмотизация легких — это показатель наличия воздуха в альвеолах и бронхах, который может варьироваться в зависимости от ряда факторов. Диффузно повышенная пневмотизация легких часто свидетельствует о наличии таких заболеваний, как хроническая обструктивная болезнь легких (ХОБЛ) или астма. Эти состояния вызывают расширение воздушных пространств и снижение эластичности легочной ткани, что в свою очередь приводит к изменению нормального соотношения между воздушными и тканевыми компонентами. Также следует учитывать влияние факторов внешней среды, таких как курение и загрязнение воздуха, которые могут способствовать развитию данных заболеваний.
Лечение диффузно повышенной пневмотизации легких требует комплексного подхода. В первую очередь необходимо установить и устранить причину заболевания, что может включать в себя отказ от курения, изменение образа жизни и улучшение условий труда. Медикаментозная терапия обоснована, включая бронхорасширяющие средства и противовоспалительные препараты, которые помогают снизить бронхиальную обструкцию и улучшить вентиляцию легких. Важно также проводить регулярные проверки функции дыхания для оценки эффективности лечения и при необходимости корректировать терапию.
Помимо медикаментозного лечения, не менее важными являются физиотерапия и реабилитация дыхательной системы. Упражнения на дыхание помогают улучшить функциональное состояние легких и общее самочувствие пациента. При наличии осложнений, таких как легочная инфекция или пневмония, может потребоваться применение антибиотиков и других вспомогательных средств. Эффективное лечение диффузно повышенной пневмотизации легких обеспечивает более качественную жизнь пациентов и помогает им справляться с последствиями заболеваний дыхательной системы.
Лечение
Лечение интерстициальных заболеваний легких зачастую включает противовоспалительные средства (стероиды) и терапию против формирования рубцов. Такой подход считается наиболее эффективным при саркоидозе, экзогенном аллергическом альвеолите и некоторых редких ИЗЛ, однако оказывается менее полезным в случаях пневмофиброза. В дальнейшем могут потребоваться процедуры кислородной терапии и программы реабилитации легких. Несмотря на проведенное лечение, некоторые типы интерстициальных заболеваний продолжают прогрессировать и могут потребовать трансплантации легких.
Выживаемость при различных заболеваниях варьируется. Исследования показывают, что через пять лет после установления диагноза 20% пациентов с идиопатическим пневмофиброзом остаются живыми, тогда как 80% — 100% пациентов с экзогенным аллергическим альвеолитом и саркоидозом выживают.
Виды диффузного пневмосклероза
По патогенетическому принципу диффузный пневмосклероз классифицируют на воспалительный, ателектатический, лимфогенный, иммунный. Патоморфологическая структура заболевания делит его на диффузный альвеолярный, сетчатый лимфогенный, миофиброз артериол и бронхиол. Патологический процесс может затрагивать как одно, так и оба легких, приводя к нарушению вентиляционной функции либо обструктивного, либо рестриктивного характера, также может сопровождаться легочной гипертензией.
Существует множество разновидностей диффузного пневмосклероза, формируемых под воздействием предрасполагающих факторов. Виды: неспецифический, специфический, токсический, пневмокониотический, альвеолярный, диспластический, кардиоваскулярный.
Симптомы диффузного пневмосклероза
Для всех типов диффузного пневмосклероза характерно наличие непродуктивного кашля, одышки, слабости, недомогания, проблем со сном, болей в грудной клетке, быстрой утомляемости и значительной потери веса. Заболевание сопутствует прогрессированию симптомов и добавлению новых проявлений. Симптоматика может включать устойчивый продуктивный кашель, выраженные хрипы при выдохе, усиление болей в груди, частые и продолжительные головокружения, повышенную утомляемость, утолщение пальцев, деформацию грудной клетки, одышку в любых условиях, изменения сердечного ритма, атрофию межреберных мышц, а также синий оттенок кожи.

Видно ли пневмофиброз на КТ легких
КТ считается золотым стандартом для диагностики пневмофиброза. Это исследование с высокой вероятностью может обнаружить рубцовые изменения, определить точное местоположение, размеры, форму и другие характеристики. КТ основано на рентгеновском излучении для создания черно-белых изображений, на которых области различной плотности отображаются по интенсивности затенения.
Если вы замечаете тревожные симптомы, не медлите с обращением к врачу. Специалист поможет направить вас на необходимое исследование. Сделать анализ можно в клинике «Магнит», расположенной вблизи станции метро «Технологический институт».

Пневмофиброз легких на КТ: представленные на снимке изменения выявлены после проведения лучевой терапии
Перед тем как провести диагностику, проводится беседа, которая помогает выявить возможные противопоказания:
- беременность;
- масса тела свыше 150 кг.
Для более точного изображения изменений в легких может потребоваться КТ с контрастированием. Контрастное вещество распространяется по организму и меняет интенсивность некоторых структур на снимках. Эта процедура не проводится:
- при аллергии на йод;
- при гиперфункции щитовидной железы;
- при приеме метформина;
- если уровень креатинина в крови высокий;
- в период лактации.
КТ признаки пневмофиброзных изменений в легких
Компьютерная томография позволяет увидеть мельчайшие рубцы, возникающие на месте воспалительных очагов после их заживления. Эти образования могут возникать в области хирургических вмешательств.
На определенном этапе фиброза наблюдаются изменения и визуальные дефекты в виде «матового стекла» в местах увеличенной плотности легочной ткани. Эти участки выглядят светлее по сравнению с нормальными участками паренхимы, так как они мягче пропускают рентгеновские лучи.
При обширном распространении фиброза характерна картина «сотового легкого» — множество кистозных образований, находящихся в несколько рядов. Внутри таких полостей содержится воздух, а стенки толще, чем обычные межальвеолярные перегородки. В ходе гистологического анализа также обнаруживается преобладание соединительной ткани.
Наблюдается прогрессирование периферического интерстиция.
Нормальное строение легочных ацинусов нарушается. Пораженные участки не участвуют в газообмене и не выполняют свои дыхательные функции.
Изменения могут быть локализованы в одном легком или затрагивать оба. Если фиброз проявляется только в одном сегменте легочной ткани, болезнь называется очаговой. При распространении соединительной ткани в различных долях обоих легких диагностируется диффузный процесс. Чем больше процент пораженной ткани, тем тяжелее протекает заболевание и хуже прогноз.
Фиброз является необратимым состоянием, и восстановление нормальной структуры легочной ткани невозможно. Тем не менее, лечение может замедлить прогрессирование заболевания.

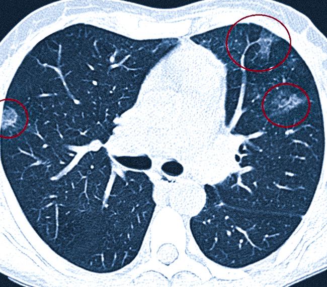
Очаги изменения легочной ткани по типу “матового стекла”
Пневмосклероз
Пневмосклероз: причины, симптомы, диагностика и терапия.
Определение
Пневмосклероз — это патологический процесс, который приводит к замещению легочной паренхимы нефункциональной соединительной тканью из-за воспалительных или дистрофических процессов в легочных структурах. Разрастание соединительной ткани приводит к деформации и значительному уплотнению легких, что делает их менее эластичными и уменьшает их объем.
Причины возникновения пневмосклероза
Чаще всего пневмосклероз является последствием или прогрессирует на фоне ряда легочных заболеваний:
- недолеченные (или неразрешившиеся) инфекционные, вирусные и аспирационные пневмонии, туберкулёз и микозы;
- хроническая обструктивная болезнь лёгких (ХОБЛ), бронхит и перибронхит;
- аталектаз, продолжительные массивные плевриты;
- пневмокониозы, вызванные вдыханием вредных газов и пыли, а также радиационное повреждение;
- различные формы альвеолитов (как фиброзирующего, так и аллергического характера);
- саркоидоз легочной ткани;
- попадание инородных тел в бронхи;
- травмы и ранения грудной клетки и лёгочной ткани;
- наследственные легочные болезни.
Неадекватный объём и/или эффективность противовоспалительного лечения вышеуказанных заболеваний могут поспособствовать развитию пневмосклероза.
Пневмосклероз также может быть следствием сердечно-сосудистых заболеваний, таких как митральный стеноз, недостаточность левого желудочка, тромбоэмболия легочной артерии, а Воздействия ионизирующего излучения и применения токсичных лекарств, влияющих на легочные ткани, либо снижения иммунной защиты организма.
Классификация заболевания
Врачи выделяют несколько форм этой патологии на основе степени замещения легочной ткани соединительными образованиями:
- фиброз — ограниченные изменения в лёгких, где соединительная ткань чередуется с нормальной лёгочной тканью;
- склероз — уплотнение легочной ткани с её заменой на соединительную;
- цирроз — последняя стадия пневмосклероза, при которой соединительная ткань полностью замещает альвеолы, сосуды и бронхи, а плевра уплотняется, что приводит к смещению органов средостения в пораженную зону.
- Ограниченный (локальный или очаговый) пневмосклероз — это локализованный участок уплотненной легочной ткани, на котором наблюдается снижение объема пораженной области легкого.
- Диффузный пневмосклероз легких — серьезное заболевание, при котором поражение охватывает всё легкое: ткань уплотняется, объем легкого уменьшается, что ведет к снижению вентиляции. Также известны случаи, когда процесс затрагивает оба легких.
- альвеолярный пневмосклероз,
- интерстициальный пневмосклероз,
- периваскулярный пневмосклероз,
- перилобулярный пневмосклероз,
- перибронхиальный пневмосклероз.
- постнекротический пневмосклероз,
- дисциркуляторный пневмосклероз,
- дистрофический пневмосклероз,
- поствоспалительный пневмосклероз.
Диффузный пневмосклероз проявляется одышкой – сначала только при физической нагрузке, а в дальнейшем и в покое. Одним из характерных признаков недостаточности функции внешнего дыхания при пневмосклерозе становится цианоз (синюшный оттенок кожи). При частично компенсированной дыхательной недостаточности цианоз развивается в области пальцев конечностей и губ. В стадии декомпенсации, то есть неконтролируемого нарушения дыхательной функции легких, цианоз распространяется на другие зоны тела. Характерный признак дыхательной недостаточности при пневмосклерозе – симптом пальцев Гиппократа, или «барабанных палочек».
Диффузный пневмосклероз часто сопровождается симптомами хронического бронхита. У пациентов возникают приступы кашля – сначала редкие, затем более частые, с выделением гнойной мокроты.
С прогрессированием заболевания усиливаются проявления: одышка, усталость, быстрая утомляемость, головокружение, боли в области сердца и живота, наличие крови в мокроте, свистящее дыхание. Все эти симптомы указывают на ухудшение легочной гипертензии и правожелудочковой сердечной недостаточности.
Тяжелое течение пневмосклероза чаще наблюдается на фоне обострения основного заболевания, например, бронхоэктатической болезни или хронической пневмонии.
Диагностика пневмосклероза
Для диагностики данного заболевания применяются различные методы проверки:
- Рентгенография легких позволяет оценить характер, степень выраженности и масштаб патологического процесса. Даже когда заболевание протекает бессимптомно, врач может выявить изменения в тканях легких. На рентгенограмме заметно уменьшение размера пораженного легкого и усиление легочного рисунка в области разветвлений бронхов. Часто нижние участки легкого проявляют себя в виде пористого образования, что называется «сотовое легкое».
Рентгенография легких служит для изучения структуры легочной ткани с целью выявления различных заболеваний.
Методы диагностики и лечения пневмосклероза легких
Процесс диагностики пневмосклероза легких включает несколько методов, позволяющих выявить наличие и степень данного заболевания.
Первоначально проводятся клинические обследования пациента и сбор анамнеза, который включает в себя опрос о симптомах и факторах риска. Врачу важно обратить внимание на состояние пациенту во время физической нагрузки, наличие кашля, одышки и характера выделяемой мокроты.
Оценка состояния легких также производится с наиболее информативными рентгенологическими методами. С их помощью можно определить утолщение бронхиальной стенки, размер и расположение пневмосклеротических образований, а также степень поражения легочной ткани. Рентген предоставляет возможность оценить успех терапии и динамику больного.
Дополнительными методами диагностики пневмосклероза легких могут быть компьютерная томография, которая предоставляет более подробное изображение легочной ткани, и выявление типичных изменений, характерных для пневмосклероза. Также может использоваться функциональная диагностика, включающая проведение спирометрии и пикфлометрии, которые позволяют оценить общую функциональную активность легких и оценить степень нарушения вентиляции.
Методы лечения пневмосклероза легких зависят от стадии развития данной болезни. Основные терапии включают препараты, которые помогают улучшить легочную функцию и смягчить симптомы. Возможно назначение физиотерапевтических процедур, таких как массаж грудной клетки, дыхательная гимнастика и подобные методы. В редких случаях может потребоваться хирургическое вмешательство.
Важно помнить, что диагностику и лечение пневмосклероза легких следует проводить только квалифицированным специалистом. Самостоятельные попытки лечения могут нанести серьезный вред и усугубить течение болезни.
Какие причины могут привести к развитию диффузного пневмосклероза легких?
Причины диффузного пневмосклероза легких могут варьироваться, включая хронические воспалительные состояния легких (такие как туберкулез или пневмония), заболевания, вызванные переживанием пыли (например, силикоз), а также радиацию, наследственные предрасположенности, аллергии и др.
Какие симптомы обычно сопровождают диффузный пневмосклероз легких?
Пациенты с диффузным пневмосклерозом могут испытывать разнообразные симптомы, такие как кашель, затрудненное дыхание, повышенная утомляемость, уменьшение физической активности, изменение веса, боли в грудной области, проблемы со сном и другие проявления, связанные с ухудшением состояния легких.
Как проводится диагностика диффузного пневмосклероза легких?
Для диагностики диффузного пневмосклероза легких применяют ряд методов исследования: аускультацию легких, рентгенографию грудной клетки, компьютерную томографию, спирометрию (для оценки объемов и скорости дыхательных потоков), бронхоскопию и другие лабораторные и инструментальные обследования.
Какое лечение может помочь при диффузном пневмосклерозе легких?
Лечебные меры для диффузного пневмосклероза зависят от стадии и причин заболевания, а также индивидуальных характеристик пациента. В некоторых случаях применяются медикаменты, направленные на снижение воспалительных процессов, укрепление дыхания и поддержание функций легких. Важно вести здоровый образ жизни, избавиться от курения, следовать рекомендациям врача о физической активности и регулярно проходить контрольные обследования. В определенных ситуациях может понадобиться хирургическое вмешательство, включая возможную трансплантацию легких.
Опыт других людей
Алексей, 34 года, инженер: «У меня была обнаружена пневмотизация легкого во время очередного медицинского осмотра. Я не ощущал никаких симптомов, но врач объяснил, что это может быть связано с воспалительными процессами или эндогенной инфекцией. В итоге мне назначили курс антибактериальной терапии и рекомендовали пройти физиотерапию. Постепенно состояние улучшилось, и контрольные снимки показали нормализацию. Очень важно вовремя проходить обследование, чтобы не упустить что-то серьезное.»
Мария, 27 лет, преподаватель: «Мне поставили диагноз пневмотизации диффузно повышенной в легком после обращения к врачу с частыми простудами и кашлем. Специалист говорил, что это может быть связано с аллергией или легкой формой пневмонии. Лечение включало антигистамины и ингаляции. Я действительно чувствовала себя лучше после второй недели лечения, и все анализы пришли в норму. Теперь стараюсь больше внимания уделять своему здоровью.»
Дмитрий, 45 лет, менеджер: «Я обратился к врачу после того, как начали беспокоить отеки на ногах и периодическая одышка. Сделали рентген и выявили пневмотизацию легкого. Врач объяснил, что причиной может быть хронический бронхит, вызванный курением. Мне призначили лечение, которое включало бронхолитики и противовоспалительные препараты. Постепенно состояние улучшилось, и я даже задумался о том, чтобы бросить курить!»
Вопросы по теме
Как пневмотизация легких влияет на общее здоровье человека?
Пневмотизация легких, или повышение воздушного содержания в легочной ткани, влияет на дыхательную функцию и обмен газов в организме. Изменения в структуре легкого могут привести к нарушению проходимости дыхательных путей, а также к недостатку кислорода в крови. Это может проявляться одышкой, хроническим кашлем и утомляемостью. Поэтому важно вовремя выявлять и лечить причины повышения пневмотизации легких, чтобы предотвратить развитие осложнений и улучшить качество жизни пациента.
Может ли стресс быть причиной пневмотизации легких?
Хотя стресс сам по себе не является прямой причиной пневмотизации легких, он может способствовать ухудшению общего состояния организма, что в свою очередь может усугубить существующие легочные заболевания. Например, стресс может привести к обострению хронического бронхита или астмы, что в результате может отражаться на паттерне пневмотизации. Поэтому важно учитывать психоэмоциональное состояние пациента при диагностике и лечении легочных заболеваний.
Какие современные методы диагностики применяются для оценки степени пневмотизации легких?
Современные методы диагностики пневмотизации легких включают рентгенографию, компьютерную томографию и магнитно-резонансную томографию. Эти методики позволяют детально оценить состояние легочной ткани, выявить очаги пневмотизации, а также сопутствующие изменения. Дополнительно могут применяться функциональные исследования дыхательной системы, такие как спирометрия, для оценки дыхательных функций. Комплексный подход позволяет установить точный диагноз и разработать эффективный план лечения.






